评论文章
开咬咬合不正:概述
穆罕默德·阿卜杜勒·瓦吉德1,Pratik钱德拉2,罗希特Kulshrestha3 *辛格,刊登4,Ramji Rastogi5和Vinay Umale6
1咨询正牙医生、私人诊所、海得拉巴,印度2读者,正畸和Dentofacial矫形手术,萨拉斯瓦提牙科学院,勒克瑙,印度北方邦
3咨询正牙医生、私人诊所、印度孟买
4教授,正畸和Dentofacial矫形手术,萨拉斯瓦提牙科学院,勒克瑙,印度北方邦
5研究生学生,正畸和Dentofacial骨科,萨拉斯瓦提牙科学院,勒克瑙,印度北方邦
6高级讲师,正畸和Dentofacial整形外科,牙科学院,友吉达常常结伴kh、马哈拉施特拉邦,印度
*通信地址:博士,Rohit Kulshrestha咨询牙齿矫正医师,私人执业,孟买,印度,电子邮件:kulrohit@gmail.com
日期:提交:2017年12月28日;批准:2018年1月10日;发表:2018年1月12日
本文引用:马瓦吉德,钱德拉P Kulshrestha R,辛格K, Rastogi R, et al .开放咬咬合不正:概述。J的口腔卫生Craniofac Sci。2018;3:011 - 020。DOI:10.29328 / journal.johcs.1001022
版权许可:©2018瓦吉德马,等。这是一个开放的文章在知识共享归属许可下发布的,必威体育西汉姆联它允许无限制的使用、分配、和繁殖在任何媒介,提供最初的工作是正确引用。
关键词:开放咬;咬合不正;病因学
文摘
介绍
这个词在1842年Caravelli开放咬”作为一种独特的分类咬合不正,可以以不同的方式定义的。一些作者已经确定,开咬,咬或倾向开放,发生在覆咬合小于正常。一个学派认为,开放咬的特点是在端点的切的关系,而其他学派说没有切的联系存在诊断之前开咬[1 - 5]。开放咬被Subtelny定义和Sakuda[6],作为开放竖直维度之间的上颌和下颌前牙切的边缘,尽管缺乏垂直牙接触会发生前或颊之间的部分。
前开咬
它被定义为没有接触前地区的咬合不正的牙齿拱门,(图1)和后牙咬合。它叫做结合开放咬当咬合不正延伸到后段[7]。
之间的咬合不正通常在临床实践中,发现开放咬是其中一个最普遍和最难以治疗。时,病因是多因素促发的审美变化,病理原因损害某些音素的发音和不利的心理环境(8、9),开放咬可能有一个牙齿,骨骼或结合病因。牙科的治疗打开咬可以很容易地完成固定矫正治疗。然而,一个更全面的方法需要骨骼开咬的管理可能需要orthognathic外科干预。牙齿咬在越来越多的病人可以用myofunctional电器与矫正保存期可移动appliances10紧随其后。阻塞的鼻子应该是见过的,在青春期发育[11]。舌头的过度活动,在吞咽的动作或即使在休息的时候,可以改变轴向的门齿倾向会导致开放咬[12]。
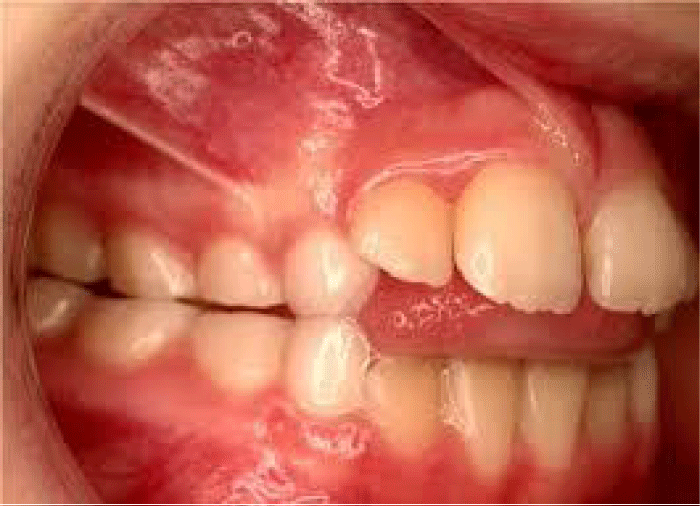
后打开咬
后打开咬之间的联系可以被定义为失败后牙齿的牙齿咬合时中心闭塞(图2)。
在图2中我们可以看到,之间没有阻塞上颌和下颌前磨牙。上颌和下颌磨牙有轻微的接触。前希望和覆咬合是正常的。
分类
开放分类由虫子咬,Meskin,艾萨克森(1971):
•开咬——从简单的狗狗,在4毫米以上为中心的关系。
•复合打开前磨牙咬——从前臼齿。
•小儿开咬——从摩尔,摩尔。
类型的开放咬
虚假或牙科开放咬:在这个咬牙齿前倾型骨性基地的没有改变但不超出犬。这病人正常的面部形态,正确骨关系,pesudo-bite dento-alveolar问题(13、14)。
真或骨骼开放咬:在这种类型的开放咬肺泡过程涉及或变形和dolichofacial特征也见过。这个病人现在hyper-divergency的上颌骨,降低面部第三和垂直维度增加[15]。
根据区开放咬所在,他们分为:
前开咬:前打开咬从病因学的角度分为两类:
o牙科
o骨骼
前牙开咬牙齿爆发障碍的结果。
开咬是由于后面部骨骼的增长。
•后开放咬:后开咬的特点是失败的一方或者双方都反对的牙齿颊段达到闭塞虽然有门牙接触。
这是看到很少,可以的
ο舌头干涉
ο骚乱爆发(如。关节僵硬)
ο爆发的主要失败
•完成开放咬[16]。
安德鲁·理查森分类前开咬:
•过渡开放咬:这类型的开放咬发生在恒牙的喷发。由于不完整的增长dento肺泡地区导致前开咬。自发的修正发生由于肺泡的持续增长和低的平均增长增量前面部高度。
•数字吸开放咬:切牙牙齿的爆发是由于数字吸创造前开咬。这种开放咬被检索习惯纠正。
这些开放咬在青春期发育阶段,但很少坚持成年生活。
增长dento牙槽突和直立的门齿会自发关闭前开咬。
•前开咬由于当地病理学:——病理条件导致前开咬包括囊肿,撕裂,关节僵硬。
Dento肺泡增长是通过适当的手术治疗切除局部病理。
•开放咬由于骨骼病理:前打开咬由于骨骼病变或异常年底变得明显增长。
这些条件是腭裂,颅面dyostosis, cleidocranialdyostosis,软骨发育不全。
•非病理性骨开放咬:非病理性骨组包括三个子组;
o开放咬在初级生齿阶段但pre-pubertal和青春期发育时期关闭dento肺泡增长所带来的赔偿。因此,开放咬的发病率往往随着年龄的降低。
o开放咬明显pre-pubertal阶段,但在青春期的阶段,关闭重新出现在青春期的阶段。
这是由于相互作用垂直面部增长和补偿dento肺泡增长足以关闭打开的咬。但是在青春期的阶段垂直面部增长占主导地位,导致开咬。
o第三组礼物最困难的临床矫正问题,面部增长主导导致总值前开咬随着时代的进步[19]。
根据梅奥的:
•简单开放咬:这类型的开放咬是局限于牙齿和牙槽突。关于这种类型的开放咬的主要问题是失败的牙齿来满足闭塞。
•复杂的开放咬:这类型的开放咬是由主要垂直发育不良引起的。复杂开放咬是经常与一级和二级咬合不正,偶尔与第三类咬合不正
病因学
前开咬像其他咬合不正的遗传起源的某些原因,在出生前的行为或产后oro-facial地区的组织。
遗传因素
合)异常通常是与遗传有关的面部增长。水平骨骼发育不良似乎继承了因此发育不良在垂直平面上也可能是继承了[20]。
三大理论[21],近年来试图解释颅面增长的决定因素。
•骨头,和其他组织一样,是自身经济增长的主要决定因素[22]。
•的行列式骨骼的生长软骨,骨骼其次回应和被动地[23]。
•经济增长的主要决定因素是骨骼软组织矩阵元素嵌入骨头和软骨是次要的追随者的[24]。
非遗传因素
•Subtelny和Sakuda[25],(1964)和Tulley[26],(1969),强调功能性异常模式的舌头,有害的口腔习惯(图3),异常吞咽模式(图4)和语音问题,所有导致的,合)现象。故障的舌头可以造成或异常吞咽行为的结果。
•根据Gershater[27],(1972),该网站的开放咬畸形取决于力量占主导地位,和牙齿和支撑结构的能力抵制改变。例如,如果有一个异常吞咽舌头的模式和强大的推动力量直接向前,很可能会有一个倾向前开咬。前开咬的严重程度也大大影响的存在有害的拇指,手指或嘴唇吸吮,口呼吸习惯,可怜的唇肌肉组织。
吮吸习惯
各种因素负责损坏牙齿的程度和投资组织由于吮吸习惯是:
•持续时间
•频率
•强度
•位置
吸吮手指或吮手指的习惯中可以看到一个孩子四到五岁。这被认为是一种正常的习惯导致没有永久的咬合不正。然而,持久吮吸手指继续混合和永久的生齿年龄组可能导致前开咬(汤普森和波波维奇,1970)[28]。一些孩子积极吸拇指或手指;其他人只是被动休息让拇指口腔。的连续性变化的强度和习惯会导致不同程度的咬合不正。持久吮吸手指会导致一个向上和向前力在前上颌骨的复杂。
异常舌功能
之间的因果关系不正常舌功能和前开咬还不清楚。以下四个因素可能是:
1)活动
2)姿势
3)年龄和增长
(4)适应性graber - 1972)
活动:内夫和Kydd[29],(1966)认为存在之间的舌头牙齿就不能创建一个开放的咬人。而Proffit和梅森[30],(1975)认为的休息位置的舌头是更重要的比实际的吞咽活动。
姿势:任何偏离一个和谐的关系与下颌骨的头盖骨和舌头可能加速成为一个开放的咬,同样任何有机阻塞鼻腔通道可能导致在前方位置头部冒失地把舌头放在降低下颌骨[25]。这些障碍通常被视为过度增长的鼻软骨和复发性呼吸道感染。
年龄和生长因子:恭维的增长降低三分之一的脸,履行一个婴儿的饮食需要舌头口腔的占据了很大一部分。这个遗产可能继续在以后的一半的生命视为巨舌(可能是由于内分泌失调)导致推力导致舌头咬[25]。
适应性:根据比约克和Skieller(1962)过度向后旋转的下颌骨可能导致一个开放与无能的嘴唇咬。极度活跃的颏肌活动为环口腔和舌头肌肉活动可能需要密封在吞咽(Speidel出版社,1972)[32]。
医源性因素:挤压和尖牙的下颌磨牙会导致开放的飞机被视为超级发散概要(Schudy1964) 33。同样交叉咬校正后与上颌骨扩张将导致楔入效应,临床上视为增加面部高度较低。
面部增长前合)的作用
据比约克(1969)增长发生旋转的两个不同的过程:
)微分垂直髁的增长之间的关系,结合缝合和肺泡上颌骨和下颌骨的生长。如果结合垂直增长的鼻,颧骨额缝合线和挤压上颌和下颌磨牙超过髁的增长的垂直分量,下颌骨旋转顺时针[34]。Schudy(1963, 1965)(35、36)写道,“顺时针旋转”是一个更大的垂直增长的结果摩尔地区比下颌髁部,和极端的条件导致合)。
b)下颌髁可增长的方向垂直,矢状(后和优越的),或任何方向。(比约克,1963)[37]。这些发现的临床意义是明显的。极端下颌旋转的变化可以被视为解决问题或加剧现有的一个因素。前合)现有的反向旋转的增长模式将变得更糟。增长,被认为是一个宝贵的援助和调整咬合的变化,是一种责任,当它出现在错误的地方,在错误的数量。骨骼合)模式可以与持续增长将变得更糟。Droel艾萨克森[38],(1972)指出,向后旋转增长模式更优关节窝的窝。这有效地缩短一个已经短的分支。最近的研究表明,舌头在不同的速度增长到周围dento-alveolar和肌肉组织,尽管它是相对较大的孩子,舌头施加相对较少的影响当孩子进入青春期和成年。 This altered balance of “influence” may explain why some “tongue thrust open-bite” cases become self correcting, and even in endogenous tongue thrust cases, the open-bite after reduces with age [39].
开咬的因素和特征
开咬咬合不正被认为是治疗固定的最困难的问题之一。开放咬是单一性的原因,可以从基因和/或环境因素发展。一般开咬可分为两类:骨骼和牙齿。开咬可以治疗牙科正畸治疗,但是一个真正的骨骼开放咬可能需要外科手术矫正治疗。开放咬可以表现为一种美学,功能和对患者的心理问题。功能缺陷的问题包括演讲,咀嚼和吞咽障碍在儿童发展。在混合齿列打开可以看到咬患病率高达17%(蠕虫,弗兰克-威廉姆斯。等)[40]。反复腺感染可能会导致不适当的舌头的位置持续婴儿吞咽伴随着致命的口腔习惯可视为门齿的局部爆发。有害的口语习惯,如数字或嘴唇吸吮,口呼吸和舌头抽插导致dento-alveolar前开咬。 This can be readily corrected by orthodontic treatment alone. This is held true if the patient is diagnosed at an early age and the associated habits can be eliminated. Mouth breathing is usually associated with dry rhinitis with difficulty in speech specially with sputtering consonants. Vertical dento-facial dysplasia has a tendency to relapse. This occurs with deep bite as well as open bite malocclusions [41]. Vertical dysplasia seen as anterior open bite is multifactorial [42,43].
•环境因素
一)习惯
b)神经肌肉缺陷
c)创伤
d)疾病
•遗传学
环境因素
习惯:有害的口腔习惯像拇指一样,数字或嘴唇吸吮,口呼吸和舌头推力通常伴随着巨舌[44]。
神经肌肉缺陷:开放的骨架成分被分类咬[45]。Leptoprosopic肌肉萎缩症患者显示上爆发后颊段沉淀前开咬[46]。
创伤:可能Skeleto-facial或dento-alveolar。明显前开咬通常是与髁的头部外伤导致逮捕增长或关节僵硬的髁下颌骨垂直增长的改变。Dento-alveolar创伤特别前门牙被视为开放的咬人。胶着受损牙齿见过病人完成增长[46]。
疾病:退化性疾病如特发性髁的吸收和幼年型类风湿性关节炎通常与髁的吸收[47]。
遗传学
天生的增长潜力是由身体的基因组成。例如控制矢状,横向和垂直维度通常是继承哈布斯堡王朝的下巴等在家里。增长和增长旋转发生在成熟期后期也归因于病人的基因池。面部类型如超和leptoprosopic允许臼齿的垂直喷发,造成过度垂直骨骼模式[48]。开放的咬和骨骼形态学之间的关系都进行了广泛的研究了Cangialosi (1984) [49]。
差异如下:
•开放咬更长的前患者面部高度后面部高度。
•比例较低的面部高度大于上层面部高度开放咬病人。
•病人张开咬了大下颌平面角和gonial角。
结论
开放咬咬合不正矫正实践难以治疗。治疗方法包括功能电器越来越多的儿童和成人外科手术。较小的情况下可以接受固定正畸治疗以及一些习惯破坏电器。在这种类型的咬合不正复发率最高。口腔的功能效率系统破坏了在这种情况下。时应该格外小心,诊断和治疗计划等这些情况下任何错误识别病因可能会导致糟糕的结果。
引用
- Alderico Artese,斯蒂芬妮·德拉蒙德,弗朱莉安娜·门德斯do Nascimento Artese。标准诊断和治疗前在稳定开咬。牙媒体J灰土。2011;16:136 - 161。Ref。https://goo.gl/NhJcLs
- 毗敦毫米。角类我开着前咬合不正咬处理提取的恒牙。牙媒体J灰土。2013;18:133 - 140。Ref。https://goo.gl/Qe5xDy
- 卡布瑞拉身边的C,卡布瑞拉CA, de Freitas公里,詹森G, de Freitas侧开咬先生:治疗和稳定。是J灰土Dentofacial .。2010;137:701 - 711。Ref。https://goo.gl/YSzD9i
- 夏皮罗。稳定的开放咬治疗。是J灰土Dentofacial .。2002;121:566 - 568。Ref。https://goo.gl/6cjZLc
- Cozza P, Mucedero M, Baccetti T,弗兰奇l .骨骼开咬咬合不正的早期矫正治疗:一项系统回顾。角灰土。2005;75:707 - 713。Ref。https://goo.gl/goYmYb
- Subtelny JD, Sakuda m .开放咬:诊断和治疗。是J灰土1964;:337 - 358。Ref。https://goo.gl/djgwjt
- 莫耶再保险,Ortodontia。4。传统的。coord。为什么Aloysio Cariello。里约热内卢:瓜纳巴拉Koogan》1991。
- Teittinen M, Tuovinen V, Tammela L, Schatzle M, Peltomaki t .长期稳定的前开咬关闭纠正surgical-orthodontic治疗。J灰土。2012欧元;34:238 - 243。Ref。https://goo.gl/rKKXMf
- Farret百万桶,多美MC Jurach EM,皮雷RTT。Efeitos na mordida aberta前从reposicionamento姿势达通用。Ortodon Gaucha。1999;3:119 - 124。
- 金正日YH,韩寒英国Lim DD, Serraon毫升。稳定前openbite校正与多环的沿边调控矫正疗法:一个人头测量法的跟踪研究。是J灰土Dentofacial .。2000;118:43-54。Ref。https://goo.gl/nFJktq
- Sodre,佛朗哥EA,蒙泰罗DF。Mordida aberta前。J胸罩Ortodon Ortop面部。1998;3:80 - 94。
- Pedrazzi大肠治疗开咬。J创灰土。1997;8:5-16。Ref。https://goo.gl/qKaCZh
- Meyer-Marcotty P,哈特曼J, Stellzig-Eisenhauer a Dentoalveolar开放咬刺激治疗设备。J Orofac .。2007;68:510 - 521。Ref。https://goo.gl/ZTuyFr
- 罗德里格斯Esequiel Casasa罗赫略。Ortodoncia Contemporanea。记录及。编辑Actualidades医生Odontologicas Latinoamerica c.a霹雳马edicion。2005年。
- 常年轻,Seong Cheol月亮。人头测量法的评估前开咬的治疗。AJO。1999年。
- Greenlee通用,陈黄GJ, SS,陈J, Koepsell T,出版社。治疗前合)咬合不正的稳定性:一个荟萃分析。是J灰土Dentofacial .。2011;139:154 - 169。Ref。https://goo.gl/XuUaA1
- 特,罗伯特。Tecnica bioprogresiva德特。编辑正在Panamerican。SA Pag。95: 97。30.
- Saadia Marc, Ahlin杰弗里·h·阿特拉斯德Ortopedia dentofacial杜兰特el crecimiento。编辑Espaxs。SAP。67: 80 - 81。
- Lawry DM, Heggie AA,克劳福德EC, Ruljancich可回顾前开咬咬合不正的管理。1990;11:147 - 160。Ref。https://goo.gl/5bZY8B
- 贾斯特斯•r .校正前的开放与热刺咬:长期稳定。世界J灰土。2001;2:219 - 231。Ref。https://goo.gl/n9LsPf
- Proffit弯角。现代口腔正畸学。的简历处于公司。1986。
- Weinmann JP, schier h .骨和骨骼骨生物学的基础。圣路易斯。的简历处于公司。1947。
- 斯科特JH。牛津Dentofacial发展和增长。帕加马出版社。1967年。
- 苔藓马丁克劳斯的函数矩阵b,里德尔RA。费城(编辑)远景等。Lea和Febiger。1962。
- Subtelny DJ, Sukuda, m .打开咬合诊断和治疗。J灰土。1964;:337 - 358。
- Tulley WJ。一个关键的评价舌头抽插。J灰土。1969;55岁:640 - 650。Ref。https://goo.gl/KfXLhx
- Gershater毫米。适当的角度开咬。角Orthod.1970;42:263 - 272。Ref。https://goo.gl/A8GvH7
- 波波维奇F,汤普森GW。拇指和手指吸:咬合不正的关系。J灰土。1973;63:148 - 155。Ref。https://goo.gl/LF1wGU
- 内夫连续波,Kydd西城。开放咬生理学和闭塞。角灰土。1966;36:351 - 357。Ref。https://goo.gl/kMoHZ9
- Proffitt WR,梅森RM。Myo -功能理论的舌头抽插:背景和建议。美国牙科协会,1975;90:403 - 411。Ref。https://goo.gl/1PeDBN
- 苏罗夫JP,陈SH,夏皮罗PA, RM, Joondeph博士,出版社。矫正治疗前合)咬合不正:十年后保留稳定。是J灰土Dentofacial .。2010;137:302 -302。
- 艾萨克森RJ Speidel TM,蠕虫调频。舌头推力疗法和前牙开咬。J灰土。1972;62:287 - 295。Ref。https://goo.gl/Z4tSGU
- Schudy FF。Vertial增长与前后增长相关功能和治疗。角。灰土。1964;34:75 - 93。
- Enlow DH。在forrester产后面部增长:。DJ瓦格纳,M。L弗莱明,F(版):小儿牙科madicinephiladelphia: Lea Febiges, 1981;盂。
- Graber TM。矫正的原理和实践。第3版费城。世行Saunder公司。1972。
- Gianelly AA。颅面生长发育:Braham Rl,莫里斯,我(eds)相机会cit。1980;25-45。
- 鹅DH,阿普尔顿j .牛津大学人类Dentofacial增长。Permagon出版社。1982年。
- 科本。增长和Cl。二世的治疗。J灰土。1966;52:5-26。
- Enlow DH,爆炸增长和人类对触须的改造。J灰土。1965;51:446 - 464。
- 蠕虫弗兰克-威廉姆斯、Meskin LH、萨克森RJ。开咬。美国口腔正畸学杂志。1971;59:589 - 595。Ref。https://goo.gl/zY1Dsa
- Cozza P, Mucedero M, Baccetti T,弗兰奇l .骨骼开咬咬合不正的早期矫正治疗:一项系统回顾。角灰土。2005;75:707 - 713。Ref。https://goo.gl/UcEaQR
- 夏皮罗。稳定的开放咬治疗。是J灰土Dentofacial .。2002;121:566 - 568。Ref。https://goo.gl/co7EJ1
- Bilodeau我。第三类的非手术治疗患者侧合)咬合不正。是J灰土Dentofacial .。2011;140:861 - 868。Ref。https://goo.gl/bvTjmi
- 公园YC,李哈,崔数控DH。开咬校正与mini-screws入侵后的牙齿。角牙齿矫正医师。2008;78:699 - 710。Ref。https://goo.gl/ULQ5B1
- Togawa R,漆布,Miyawaki美国骨骼第三类和开放咬处理双边矢状骨切开术和摩尔入侵使用钛螺丝。AngleOrthod。2010;80:1176 - 1184。Ref。https://goo.gl/sX8TPU
- 贝利Proffit WR, LJ,菲利普斯C,特维助教。长期稳定的外科合)修正我勒堡截骨术。角灰土。2000;70:112 - 117。Ref。https://goo.gl/snEfCw
- 尼尔森I.L.垂直咬合不正,病因、发展、诊断和治疗的某些方面。角正牙医生。1991;61:247 - 257。Ref。https://goo.gl/dsZDqn
- 托雷斯FC,阿尔梅达RR、Almeida-Pedrin RR Pedrin F, Paranhos LR。Dentoalveolar移动和固定床之间的比较研究,关联到下巴杯,在治疗前开咬。J:口腔科学。2012;20:531 - 537。
- Cangialosi TJ。前开咬的骨骼形态学特征。美国口腔正畸学杂志。1984;85:29-36。Ref。https://goo.gl/daGTHi






